폐렴의 정의와 특징
폐렴은 폐에 염증이 생기는 질환으로 병원체나 자가 면역질환에 의해서도 생길 수 있는 질환이다. 2017년에는 사망자가 22만여 명이 되는 사람이 폐렴으로 사망하였으며 사망 랭킹 4위까지 올랐었다고 한다. 그중에서 노인에 대한 사망률이 큰 것으로 알려져 있다.
특히 65세 이상인 경우에는 폐렴의 증상인 기침, 가래, 발열 등의 증상들이 잘 나타나지 않아서 간과하기 쉬우며, 면역력이 약한 사람들이나 산모들도 폐렴에 걸리면 갑자기 사망하는 경우들이 많아서 주의를 요한다. 또한 대부분의 환자들은 감기와 같은 질환으로 오기 때문에 원인을 찾을 확률이 낮아서 평소 호흡기가 좋지 못하면 정기 검진은 필수이다.
폐렴의 종류는 바이러스가 원인이 되는 바이러스성 폐렴, 병원균이 원인이 되는 병원균성 폐렴, 곰팡이 균이 원인균이 되는 곰팡이성 폐렴, 이물질이 폐로 들어갔을 때 걸리게 되는 흡인성 폐렴, 주로 폐렴 구균이 원인이 되는 병원 밖에서 폐렴이 발생하는 경우인 정형성과 비정형성으로 나뉘는 지역사회 획득 폐렴과 입원 후 72 시간 이후에 나타나는 병원 내 폐렴이 있다.. 병원 내 폐렴의 원인균은 주로 그람 음성균, 대장균, 녹농균, 황색 포도상구균이다.. 그밖에도 자각증세가 적긴 하지만 꽃가루, 기생충, 결핵 등의 알레르기 반응 등으로 생기는 알레르기성 폐렴, 화학물질이 폐로 들어가서 폐렴을 일으키는 화학성 폐렴, 크루프 성 폐렴인 대엽성 폐렴, 면역기능 저하 환자에서의 폐렴 등으로 그 종류가 다양하다.
폐렴의 증상
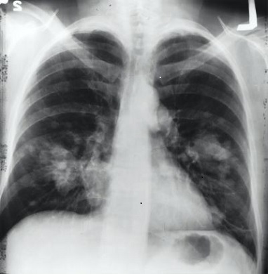
기침, 발열, 식욕부진, 기력 저하, 구토, 설사, 탈수, 두통, 인두염, 피곤함, 근육통, 발한, 청색증, 천식음, 호흡곤란, 흉막 염성 흉통, 짙은 화농성의 가래, 흉수, 빈맥, 빈호흡, 천명음, 나음, 청진 시 호흡성 수포음(crackles), 저산소증, (crackles), 저산소증, 저혈압, 촉각 진탁음(tactile fremitus)이 나타나고, 타진 시 둔감한 탁음(dullness)이 들리기도 한다. 또한 흉부 X-ray 상에서 폐렴 경결이나 다발성 경결이 나타내고 피검사에서 백혈구 수치 증가, 및 염증 수치 증가 등의 증상들이 있다.
폐렴의 진단 및 치료
주로 폐렴의 진단은 흉부 X-ray이며 기관지 내시경 검사, 정확한 진단으로는 폐 CT 등이 있다. 또한 입원한 환자들이 고열이 지속적으로 발생하거나 폐렴 증상 등이 호전을 보이지 않으면 가래 배양검사와 혈액 배양 검사를 나가기도 하여 균에 적절한 항생제를 쓰는데 도움을 받을 수 있다.
폐렴의 치료제로는 여러 가지 항생제가 있다. 항생제로는 페니실린 계열, 세팔로스포린계, 마크로라이드 계열, 테트라 시 이클린 계열 등의 항생제가 있다. 항생제를 사용할 때에는 대부분 5일간 항생제를 복용하게 되고, 이 기간 안에 환자의 열이 48시간 동안 떨어질 때까지 복용을 계속해야 한다. 또한 폐렴의 예방접종도 있다. 폐렴의 예방 접종으로 평생 한번 맞으면 되는 고가 백신인 13가 백신이 있으며, 65세 이상 노령 인구에게 보건소에서 무료로 접종해주는 23가 백신이 있다.
폐렴의 간호와 예방
폐렴의 간호 중재는 지시대로 항생제나 산소를 투여해주고, 충분한 수분 공급을 해주며, 기침을 장려하고, 흉부 물리요법을 통해 객담 배출을 증진시켜준다. 또한 청색증이나 저산소증, 호흡곤란 증상이나 혼돈 등의 증상이 있는지 잘 관찰한다. 폐렴을 예방하기 위해서는 손 씻기를 잘하고, 호흡기 에티켓을 잘 지키며, 개인위생을 철저하게 하고, 금연, 금주를 하고, 영양을 잘 섭취하고, 적당한 휴식을 취하도록 하여 몸이 피곤하지 않도록 하여야 한다..
65세 이상이나 당뇨, 심장병 질환자 등의 고위험 환자 군들은 독감 예방접종을 필수적으로 하여 독감으로 인해 발생되는 이차 합병증인 폐렴에 걸릴 확률을 줄여야 하겠다.
